Schalenamöben
Zu den Arcellina gehören einige Gattungen meist kleiner, unauffälliger und daher leicht zu übersehender Formen mit oft weichen elastischen Gehäusen.

Vielleicht habe wir hier Übergänge von den Cochliopodia zu den Arcella mit starren Gehäusen vor uns.

Die schüsselförmigen Pyxidicula

Diese sind im Gegensatz zu den echten Arcella nach unten bis auf den Rand offen. Pseudopodien wurden nicht beobachtet. Das punktierte Gehäuse ist zunächst durchscheinend und wird mit dem Alter rotbraun.

Die 21 µm breite Pyxidicula cf. operculata (Hl. Meer Gebiet).
25 µm Balksee-Moor

Pyxidicula spec. 28 µm, Balksee-Moor
Pyxidicula spec. 24 µm, Balksee-Moor

Pyxidicula cf. invisitata, 38 µm.
... und 45 µm, beide Tirol.

Pyxidicula cymbalum, ca. 75 µm, Balksee-Randmoor
(erheblich größer als die anderen Arten der Gattung Pyxidicula).

Oben: Blick von unten auf ein 72 µm breites Exemplar.
Rechts oben: Ansicht schräg von unten auf ein ebenfalls 72 µm großes, noch nicht ausgefärbtes Exemplar.
Die Art besitzt einen Wulstrand und einen äußeren, durchscheinenden Rand. Sie ist nicht selten, aber leicht zu übersehen, meist findet man im nassen Moos nur leere Schalen.
In der Seitenansicht.
78 µm Durchmesser.



Dreimal Pyxidicula spec., ca. 45 µm breit, Strawiese, Österreich.

Die Microcoryciidae

Hülle vom Plasmaleib abgehoben, biegsam, mit basaler klar umgrenzter Öffnung; Hülle kann sich um den Körper sackartig schließen (Harnisch 1953).

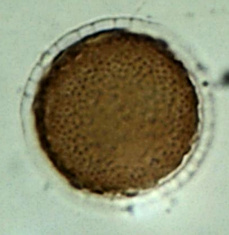
Vermutlich Microcorycia flava, 100 µm, Balksee-Moor.


Eugène Penards Zeichnungen.

Amphizonella violacea

Zu den Microcoryciidae zählt auch die Gattung Amphizonella, ca. 110 bis 290 µm (meine Messungen) große Organismen ohne feste Schale, mit einer flexiblen dünnen hyalinen Hüllschicht, die sie völlig ausfüllen, umgeben von einer ca 10 µm dicken hyalinen Schleimschicht.
Ich fand sie im Kraut eines leicht sauren Wiesengrabens im Balksee-Moor.

Das Plasma enthält an der Oberfläche zahllose violette Vakuolen, die der Amöbe die namensgebende Färbung verleihen.
Hier ist deutlich die ca 10 µm dicke Schleimschicht zu erkennen.

 
Obiges Exemplar nach einem Tag in der feuchten Kammer:
Das Pseudostom wird als schlitzförmig beschrieben.
Der große helle Bereich links ist vermutlich der Zellkern, die kleineren hellen Kreise sind vermutlich kontraktile Vakuolen.
aktiveres Exemplar.
Auschnitt des Randes. Er wirkt durch die Granula körnig. Herum die Schleimschicht. Die von anderen Autoren beschriebene dünne Hüllschicht konnte ich nicht erkennen.
Die ca 4-5 µm großen violetten Granula.
Der zentrale Zellkern [?].

Sehr ähnlich ist die in Torfmoosen lebende Zonomyxa violacea.
Zur Zeit gelten diese beiden noch als verschiedene Arten, einige Autoren halten sie jedoch für eine Art.
Nach R. Meisterfeld und H.-J. Basewitz (2006) unterscheiden sich die Arten u. A. in der Zahl der Zellkerne - Amphizonella nur einer, Zonomyxa 4 bis 32.
Penard schrieb bereits 1902: "Mes observations me permettent d'affirmer cependant que A. violacea et Z. violacea … représente … une seul espèce."